Desde hace años circula entre científicos y entusiastas la idea de que nuestro mundo no es, en realidad, real. Hay quienes sugieren que se trata de...
En todo el mundo unos 35 millones de personas conviven con el virus del VIH. Una mujer estadounidense a la que diagnosticaron el sida hace 23...
Arqueólogos mexicanos han hallado una pista insólita de lo que podría ser la primera tumba encontrada hasta la fecha de un gobernante de la ciudad de...
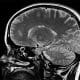
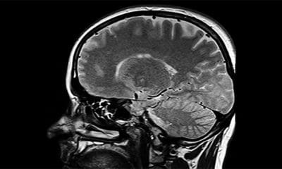
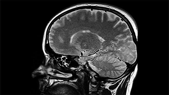
Una mujer estadounidense de 26 años se sometió a una operación que le extirparan un supuesto tumor que tenía en el cerebro. Sin embargo, la sorpresa...
Científicos estadounidenses han descubierto que una proteína es capaz de sanar las células cancerosas del páncreas. Según ellos, las células “reprogramadas” pierden su capacidad de formar...
En una entrevista el neurocirujano italiano Sergio Canavero, que realizará en 2017 el primer trasplante de la cabeza, ha revelado quién donará el cuerpo, si la...
Cada vez son más las personas que ingieren suplementos vitamínicos en abundancia pensando que favorecen así su salud, cuando nuevas investigaciones sugieren que el exceso en...
En la provincia de Giza, a 20 kilómetros de El Cairo, arqueólogos rusos han encontrado fragmentos de las murallas blancas que rodeaban Menfis, la primera capital...
El calentamiento global es un hecho. Existen innumerables evidencias que así lo confirman. Pero, ¿lo son también sus causas? ¿Y también sus consecuencias? El cambio climático...
El programador ruso de 30 años Valeri Spriridónov, que sufre de atrofia muscular espinal, se ha convertido en el primer candidato para someterse a un trasplante...