El desarrollo de una membrana a base de grafeno podría cambiar la forma en que se potabiliza el agua actualmente.
La inmunoterapia personalizada logrará una supervivencia de hasta el 50 % en cánceres que eran mortales hace dos años, ha señalado el jefe del Servicio de...
Dos partes del cerebro están fuertemente involucradas en los recuerdos de nuestras experiencias personales. Una es para el aquí y el ahora, y la otra para el resto de la...
Un estudio de un comité científico concluye que no hay motivos para temer por nuestra salud al utilizar la radiofrecuencia 4G o las redes wifi.
Un grupo de científicos ha descubierto características atmosféricas en el planeta conocido como GJ 1132b.
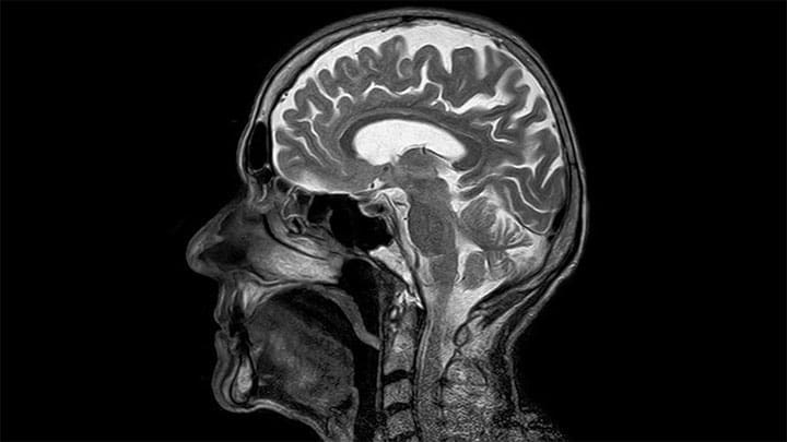
Hasta ahora se creía que esta enfermedad se debía a una degeneración de las células del área cerebral de la que dependen los mecanismos de la...
Noruega ya tiene una «bóveda del Juicio Final», cuyo objetivo es proteger semillasprovenientes de todo el mundo. Su remota ubicación y el clima frío convirtieron a la bóveda...
Un grupo de geólogos y paelontólogos italianos que dirigía unas excavaciones arqueológicas en los túneles de la Galería Borbónica de Nápoles (Italia) hallaron recientemente el resto...
Los datos ayudarán a los médicos a determinar a personas con un riesgo sustancialmente mayor de padecer la enfermedad, así como a prevenir su desarrollo.
El mayor programa de geoingeniería solar hasta la fecha estudiará la viabilidad y los riesgos de alterar el clima de manera deliberada para frenar el calentamiento...