México. Los escalofríos son una reacción regulada por el sistema nervioso, están asociados con el estrés y preparan al organismo para una respuesta global, ya sea de...
Un análisis de once países ricos concluyó que Estados Unidos tiene un sistema de salud injusto y difícil, y en términos generales es peor que cualquiera de los...
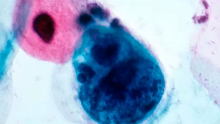
Guadalajara.- El médico adscrito al Instituto Dermatológico de Jalisco “Dr. José Barba Rubio” (IDJ) de la Secretaría de Salud Jalisco (SSJ), Francisco Salazar Torres, afirmó que...
Incluso comer una cantidad menor que esta puede llegar a tener consecuencias peligrosas para la salud, advierte un estudio de la Universidad de Glasgow.
México.- El sobrepeso, la obesidad y el uso de dispositivos móviles incrementan el riesgo de dolor en las articulaciones, pues al tener o imprimir más peso...
Guadalajara.- El especialista Ernesto Eduardo Echeagaray Guerrero indicó que fumar afecta la salud de la población en general, puesto que propicia enfermedades como el cáncer de...
Mira que te lo advertimos… Te contamos lo que todo el alcohol que podías llegar a ingerir en Nochevieja podía hacerle a tu cuerpo, y también lo que...
México.- La nostalgia, las bajas temperaturas y hasta nuestra historia genética, hacen que en invierno tengamos una mayor necesidad de consumir alimentos, tenemos más hambre, y...
“Entrena para tu vida diaria” parece ser un buen mantra: prepara a tu cuerpo para que pueda hacer frente a las tareas que tiene que realizar día...
Los científicos han descubierto qué animales tienen un gen asociado al desarrollo de tumores en los humanos.